Blanqueamiento dental

Full Dental

Blanqueamiento Dental en Bogotá

En FullDental Bogotá, ubicados en el sector de Niza, somos especialistas en blanqueamiento dental en Bogotá, ayudando a nuestros pacientes a lograr una sonrisa más blanca, saludable y estética mediante tratamientos seguros y tecnología avanzada.

Nuestro servicio de blanqueamiento dental en Niza Bogotá comienza con un diagnóstico personalizado donde evaluamos el estado del esmalte, la sensibilidad dental y la salud de tus encías. Utilizamos agentes blanqueadores de alta calidad y técnicas modernas que permiten aclarar varios tonos en una sola sesión, logrando resultados visibles, naturales y sin afectar los tejidos dentales. Además, aplicamos protocolos especializados para reducir la sensibilidad y proteger tus encías durante todo el procedimiento.

Si buscas un blanqueamiento dental en Bogotá con resultados profesionales, seguros y duraderos, en FullDental contamos con un equipo especializado listo para ayudarte a transformar tu sonrisa con confianza y respaldo clínico.

Full Dental

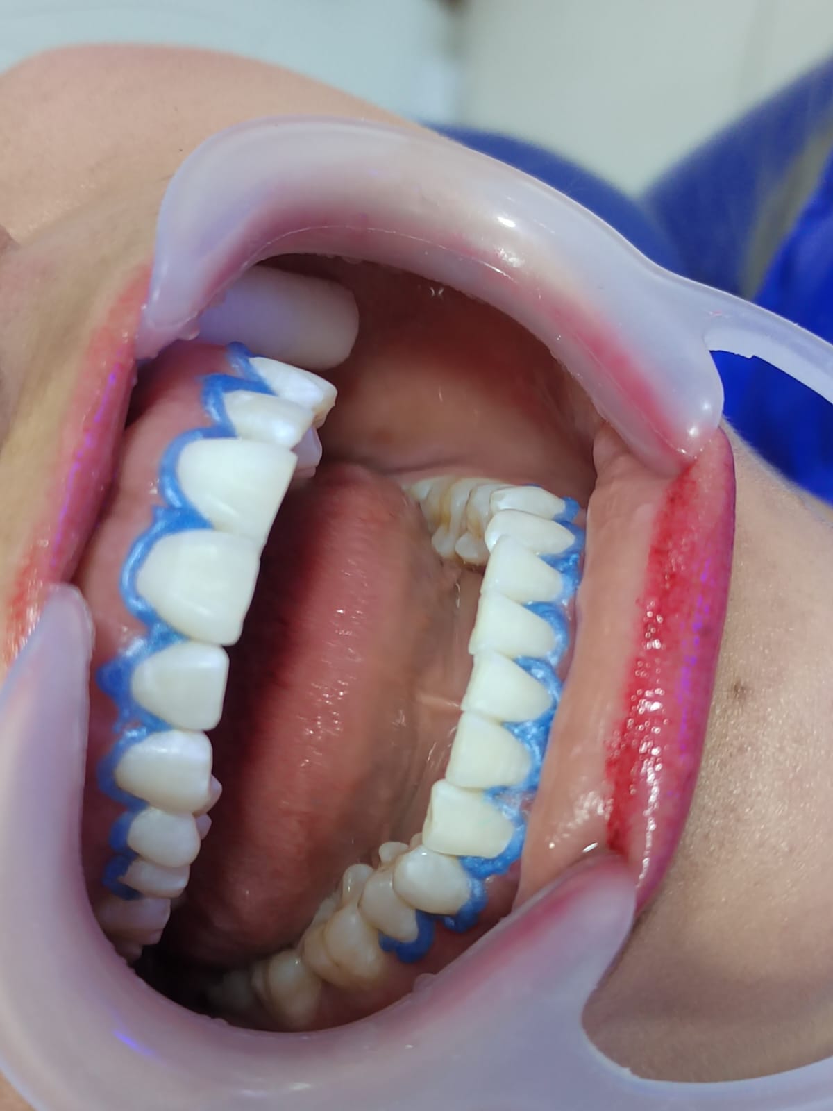
¿Qué incluye nuestro servicio de Blanqueamiento Dental ?

Nuestro servicio de blanqueamiento dental en Bogotá, sector Niza, es un tratamiento integral que combina salud oral, estética y tecnología avanzada para lograr una sonrisa más blanca, uniforme y natural. Cada procedimiento es personalizado según las necesidades, el tipo de manchas y los objetivos de cada paciente.

Diagnóstico y planificación del blanqueamiento

Utilizamos evaluación clínica y diagnóstico profesional para determinar el origen de las manchas y el nivel de aclaramiento ideal. A través de este análisis, diseñamos un tratamiento de blanqueamiento dental en Niza Bogotá seguro, efectivo y adaptado a cada sonrisa, optimizando resultados y minimizando la sensibilidad.

Aplicación del blanqueamiento dental

Aplicamos agentes blanqueadores de alta calidad con tecnología avanzada que permiten aclarar varios tonos en una sola sesión. Este procedimiento mejora la estética dental, devuelve el brillo natural de los dientes y mantiene la integridad del esmalte. Además, implementamos protocolos de protección para encías y control de sensibilidad, garantizando un tratamiento cómodo y seguro.

 

Full Dental

Tu diagnóstico completo en un solo lugar — sin ir a ningún otro lado

En FullDental Bogotá tienes rayos X digitales en el consultorio, diagnóstico inmediato y

valoración profesional completamente gratis en tu primera visita.